Dental Veneers
Get Your New Smile Fast
Do you have broken teeth? Want to improve your smile? Veneers are a great option! Smiling can lower your blood pressure, decrease your stress levels, and boost your immune system. If you hesitate to smile because you’re not satisfied with the look of your teeth, our Friendswood and Pearland, TX, cosmetic dental practices can help you repair your smile. A smile makeover with porcelain dental veneers can give you the confidence you need to tackle everyday life.

Benefits of Dental Veneers
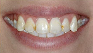
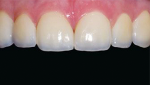
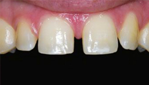
Porcelain veneers can repair minor flaws in your teeth including misshapen teeth, gaps between teeth, chipped or cracked teeth, and stains on your teeth that can’t be removed with teeth whitening. It’s like an instant smile makeover!
Other benefits of dental veneers include:
- Improvement in the shape of your teeth.
- A brighter and whiter smile.
- Stronger teeth.
- A natural look that will blend with your natural enamel.
- Stain resistance.
- Better functionality for eating and speaking.
- Biocompatible material that won’t irritate gum tissue.
- Long-lasting durability.

Before and After Veneers






Instant Smile Makeover
With porcelain veneers or prepress veneers, our dentists can instantly fix flaws in your front teeth. Dental veneers are made of an ultra-thin porcelain shell custom-made just for your smile. Here’s a layout of the process:
Porcelain Veneer Consultation
Traditional porcelain veneers start with an initial consultation with one of our cosmetic dentists. During your first visit, we will review your smile goals and answer any questions you have about veneers.
Tooth Preparation
Our cosmetic dentists will need to remove a small amount of enamel to prepare for placement. This process is quick and only slightly uncomfortable. This step is necessary to make room for your veneers and give them a textured surface to adhere to.
Revitalizing Smiles With Tooth Veneers
For your veneer visit, we will take impressions of your teeth. After your custom-made veneers are finished, you will return to our office to have them placed. Before we permanently bond your veneers, we will make sure that they look and fi
What Veneers Can Do For You
Veneers can work wonders for those seeking an aesthetic enhancement to their smile. They’re an ideal solution for teeth that are stained, chipped, or have gaps. If you’ve ever felt self-conscious about uneven or discolored teeth at events like weddings, reunions, or professional engagements, veneers offer a chance to flaunt a radiant, harmonious smile. Perfect for those special occasions where first impressions matter, veneers are a game-changer, providing confidence with each smile you share.

IMPROVE YOUR SMILE WITH VENEERS TODAY!
Call our office today to schedule an appointment with one of our friendly cosmetic dentists, even if you’re in the Manvel area.




